胃拡張・胃捻転とは、大量のえさや水の摂取、食後の急激な運動などが原因で胃が大きくなり、続いて胃が回転することで起こる疾患で、愛玩動物でも主に大型犬で多くみられます。胃が回転してねじれると胃の出入口が塞がって胃がさらに大きくなり、ねじれた消化管が壊死を起こすことで体内の循環に影響が出て最悪の場合、死亡してしまう疾患です。
2022年にレッサーパンダが胃拡張・胃捻転を起こしたものの早期発見・早期治療により回復した事例がありますので、ご紹介します。
2022年10月中旬の夕方、多摩動物公園のレッサーパンダの「ルンルン」がリンゴの給餌後に嘔吐を繰り返していると連絡を受けました。症状から胃拡張・胃捻転が疑われたので、急いで病院へ運び、麻酔をかけてレントゲン(X線画像)検査を実施したところ、やはり胃拡張・胃捻転の疑いが強まったのでそのまま緊急手術をおこないました。腹部を切開して大きく膨らんだ胃からリンゴやペレットなどを除去しました。そして胃の捻じれた部位を探し、正常な位置に直して、再発防止のため腹壁と胃の一部を固定しました。手術後数日は状態が悪化することがあるので、病院へ入院させました。

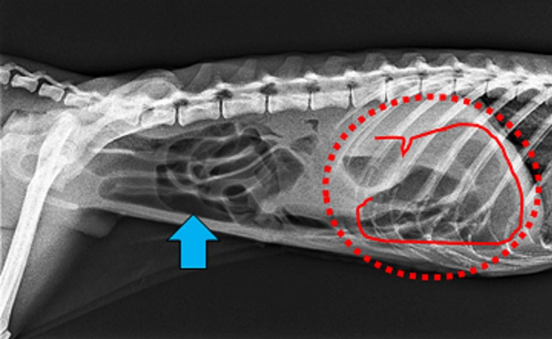
手術前のレントゲン画像
腸管内(青矢印)にガス(黒い領域)が貯留。胃(赤丸)が拡張し、ガスが貯留している
術後数日は麻酔が完全に切れていないためかボーッとしていることが多く、大好物のリンゴにも反応してくれませんでした。しかし日に日に顔つきがよくなり、リンゴもよく食べてくれるようになりました。手術で胃を切ったので、えさは少ない量から少しずつ増やしていき、その内容もリンゴの薄切りから始めてふやかしたペレット、固形のペレットと段階的にもとに戻していきました。
術後10日ほどで治療経過の確認のために麻酔をかけて検査をしたところ、胃は正常な状態で腹部の傷も問題なく、順調に回復してきていました。そして、手術から2週間で無事に退院しました。
 |  |
正常な胃と腸管 胃(赤丸)と腸管(青矢印)のなかには食渣が貯留 | 患部写真(術後1週間) 切開部はきれいに癒合している |
入院中、始めはえさをなかなか食べてくれないのでとても心配していましたが、急にスイッチが入ったように食べ始めてくれて一安心しました。入院室の前を通るたびに、リンゴがほしいと催促してきたり、金網を登ったりと少しずつ元気に活発になっていくようすを見て、さらに安心することができました。
胃拡張・胃捻転は、発見と処置が遅れると死亡してしまう疾患です。今回のルンルンの場合は、発見が早くすぐに処置をおこなうことができたので無事に回復することができました。胃拡張・胃捻転だけでなく病気やケガはさまざまな要因が重なることで発症してしまい、予防することはなかなか難しいですが、飼育担当者と協力して病気の予防と早期発見・早期治療につなげていければと考えています。
〔多摩動物公園動物病院係 宮嶋〕
(2023年03月31日)